Цена на компьютерную томографию (КТ) тазобедренного сустава зависит от уровня оборудования, на котором она производится и дополнительных услуг, входящих в стоимость процедуры. Это современное исследование, которое занимает минуты и дает представление о причинах многих состояний пациентов.
Что такое КТ и МРТ?
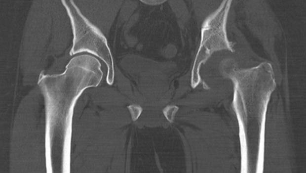
КТ – это метод рентгеновского исследования, основанный на обработке данных, полученных с помощью рентгеновских лучей, которые излучает кольцеобразный контур. Такое исследование дает трехмерное изображение органа. Это основной метод в современном исследовании состояния разных органов в человеческом теле.
Томографы различаются по своим характеристикам, от чего цена на МРТ и КТ в разных клиниках так же может существенно отличаться. Мощность томографа должна быть 1,5 Тесла. Такой аппарат быстро и качественно произведет исследование. Для обследования головного мозга используют томографы мощностью 3 Тесла.
С помощью КТ тазобедренного сустава дают следующие оценки:
- состояния поверхности костей;
- состояния связок;
- наличия патологических проблем в суставе.
Компьютерная томография сустава проходит следующим способом: пациент снимает все предметы, содержащие металл (очки, украшения), и ложится на специальный стол, который постепенно заезжает в томограф. Во время процедуры важно оставаться абсолютно неподвижным.
Магнитно-резонансная томография (МРТ) – основана на таком же принципе исследования с помощью волн и получения трехмерного изображения органов, моделируемого компьютером. Но волны в данном случае электромагнитные. Волны с разной силой действуют на разные ткани, а получаемые сигналы проходят обработку.
Оба метода дают возможность детально изучать патологии органов благодаря «послойному» изображению. Толщина слоя зависит от настроек аппарата. Чем больше возможности у аппаратуры, тем дороже она стоит и это находит прямое отражение в стоимости услуг КТ и МРТ.
Различия между КТ и МРТ заключаются и в том, какие заболевания и проблемы точнее выявляются тем или иным способом.
Врачи единодушно подчеркивают, что экономия на медицинских услугах, особенно таких, как компьютерная томография тазобедренного сустава, может привести к серьезным последствиям для здоровья. КТ является важным инструментом для диагностики различных заболеваний и травм, позволяя выявить проблемы на ранних стадиях. Низкая стоимость процедуры может свидетельствовать о недостаточном оборудовании или квалификации специалистов, что увеличивает риск неправильной диагностики. Врачи настоятельно рекомендуют не пренебрегать качеством медицинских услуг ради экономии. Здоровье – это инвестиция, и правильное диагностическое обследование может предотвратить более серьезные проблемы в будущем.

Возможности КТ и МРТ: что лучше?
Оба исследования дают информацию о состоянии органа и помогают выявить различные проблемы. Они имеют противопоказания, а детям назначаются, только если остальные способы исследований оказываются неинформативными.
Иногда пациенты не знают что лучше: КТ или МРТ тазобедренного сустава? Все зависит от проблемы: если произошла травма костей, то более информативна КТ, а если проблема с мягкими тканями или развивается дегенеративное поражение суставов, то применяют МРТ, способную показать анатомические структуры. Но в большинстве случаев оба метода взаимодополняют друг друга.
СКТ тазобедренного сустава
Спиральная КТ (СКТ) тазобедренного сустава выполняет те же функции, что и обычная КТ, но отличается способом движения сканера. При СКТ сканер движется по спирали, что увеличивает информативность метода и его скорость. Эти показатели в свою очередь увеличивают стоимость процедуры.
Факт! СКТ выявляет самые мелкие опухоли и нарушения структуры тканей во время исследования тазобедренного сустава при меньшем облучении.
При диагностике патологий суставов для более точного исследования может применяться контрастирование. Чаще всего это дополнение СКТ используется в диагностике сосудов, проходящих внутри тазобедренного сустава. Контраст идет по сосудам и накапливается в тканях.
Перед исследованием с контрастом пациент нуждается в подготовке: нельзя есть за шесть часов перед процедурой, употребление жидкости обговаривается с врачом. Другие виды исследований не требуют подготовки.
Многие люди, сталкиваясь с необходимостью пройти компьютерную томографию тазобедренного сустава, начинают задумываться о стоимости процедуры. Однако стоит помнить, что здоровье — это не та сфера, где следует экономить. От качества диагностики зависит правильность лечения и, в конечном итоге, качество жизни. Низкая цена может означать использование устаревшего оборудования или недостаток квалифицированного персонала, что может привести к ошибкам в диагнозе.
Пациенты, которые выбирают более дешевые варианты, часто сталкиваются с повторными обследованиями и дополнительными расходами на лечение. Важно понимать, что инвестиции в качественную диагностику — это инвестиции в свое здоровье и благополучие. Лучше один раз потратиться на надежное обследование, чем потом сталкиваться с последствиями неправильного диагноза. Заботьтесь о своем здоровье, выбирайте проверенные клиники и не позволяйте цене стать решающим фактором в таком важном вопросе.

МСКТ тазобедренного сустава
МСКТ – мультиспиральная компьютерная томография. МСКТ тазобедренного сустава — это один из самых высокотехнологичных и дорогих способов исследования. Процедура выполняется на мультискоростных спиральных томографах, в которых стоят сразу две рентгеновских трубки. Исследование происходит за секунды.
Заболевания тазобедренных суставов, при которых применяют компьютерную томографию:
- артроз;
- остеопороз;
- ревматизм;
- травмы;
- опухоли;
- дисплазия.
Перед любой диагностикой врач изучает медицинские документа пациента, результаты предыдущих исследований. МРТ и КТ противопоказаны при беременности и кормлении грудью, в остальных случаях необходимость проведения томографии определяется лечащим врачом, поскольку пациент получают дозу облучения, хоть она и не несет ощутимого вреда здоровью.
Цены на КТ тазобедренного сустава
В среднем, цена начинается с 2000 рублей. В эту стоимость, как правило, не включается расшифровка томографии. За такой услугой нужно обращаться к врачу дополнительно.
КТ с расшифровкой стоит от 2500 до 8500 рублей. Если необходимо провести компьютерную томографию с контрастом, то ее стоимость начинается от 6000 рублей. Цена на СКТ без расшифровки начинается с 2500 рублей, а на МСКТ – от 3500 рублей.

Вопрос-ответ
Сколько стоит КТ тазобедренного сустава?
В среднем по Москве стоимость КТ тазобедренного сустава составляет 5500 рублей. Цена сканирования с контрастом от 7 000 до 10 000 рублей.
Что покажет КТ при болях в тазобедренном суставе?
КТ может использоваться для получения предоперационных измерений при определенных заболеваниях тазобедренного сустава, включая фемороацетабулярный импинджмент (состояние, при котором головка и впадина тазобедренного сустава аномально трутся друг о друга, тем самым повреждая хрящ, выстилающий концы костей) или остеоид-остеому (доброкачественную опухоль).
Какое обследование лучше для тазобедренного сустава?
Если перед вами стоит вопрос, как диагностировать тазобедренный сустав – на рентгене или МРТ, в 99% случаев более информативным и предпочтительным способом диагностики будет магнитно-резонансное исследование.
Что лучше делать для тазобедренного сустава КТ или МРТ?
Травмы и костные повреждения: КТ является предпочтительным методом, так как она быстро и четко показывает состояние костей. Повреждения мягких тканей: МРТ лучше подходит для оценки состояния мышц, сухожилий, связок и хрящей. Если есть подозрение на разрыв или воспаление мягких тканей, МРТ будет более информативной.
Советы
СОВЕТ №1
Перед проведением КТ тазобедренного сустава обязательно проконсультируйтесь с врачом. Он поможет определить необходимость исследования и объяснит, какие именно проблемы могут быть выявлены с его помощью.
СОВЕТ №2
Не экономьте на качестве диагностики. Выбирайте клиники с хорошей репутацией и современным оборудованием, так как это напрямую влияет на точность результатов и ваше здоровье.
СОВЕТ №3
Узнайте о возможных альтернативных методах диагностики, таких как МРТ или УЗИ, которые могут быть менее инвазивными и не требуют облучения, но при этом могут дать необходимую информацию о состоянии вашего тазобедренного сустава.
СОВЕТ №4
Обсудите с врачом стоимость процедуры и возможные варианты оплаты. Многие клиники предлагают рассрочку или скидки, что может помочь вам избежать финансовых трудностей при необходимости проведения КТ.


